
| Home / 医院紹介 / コンセプト / 診療設備 / 歯科一般 /小児・矯正 / インプラント / ホワイトニング / スタッフ紹介 / アクセス / BLOG / LINK |
レーザーホワイトニング |
|
変色が進んでいる場合は、薬剤+レーザーを用いて、ホワイトニングします。 |
|
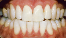
| Before | After |
![]() |
![]() |
ホームホワイトニング |
|
| 専用のマウスピースとホワイトニングジェルを使用して、家庭でホワイトニングします。 詳しくは、こちらをご覧下さい(PDFファイルが開きます)。 |
|
| Before | After |
![]() |
![]() |
ホワイトコート |
|
| 1回の処置で、ホワイトニングが完了します。いわば、歯のマニキュアです。 まったく歯にダメージがなく、短時間で終了しますが、数ヶ月ごとにコーティングする必要あります。 詳しくはこちらをご覧下さい(PDFファイルが開きます)。 |
|
| Before | After |
![]() |
![]() |
歯の色は、人それぞれ。 もともと、歯の色の濃い方や歯の色が均一でない方もいらっしゃいます。 また、進行したむし歯や外傷のため神経を取ると、歯の色が変わってきてしまいます。 機能的に問題がなくとも、審美的にマイナスのイメージがある場合は、 ホワイトニングはいかがでしょうか。 白い歯は、その人の笑顔を引き立てます。 また、健康な歯であっても、さらに明るい色調をご希望の場合もご相談下さい。 |

